간편예약서비스

연락처를 남겨주시면 전문상담원이
진료 예약을 도와드립니다.

약관

1600-3565

전화문의

네이버예약

예약신청

카카오톡상담

오시는 길

유튜브 채널

온라인 예약

원하는 작업을 선택하세요.

이름과 주민등록번호를 입력하세요

-

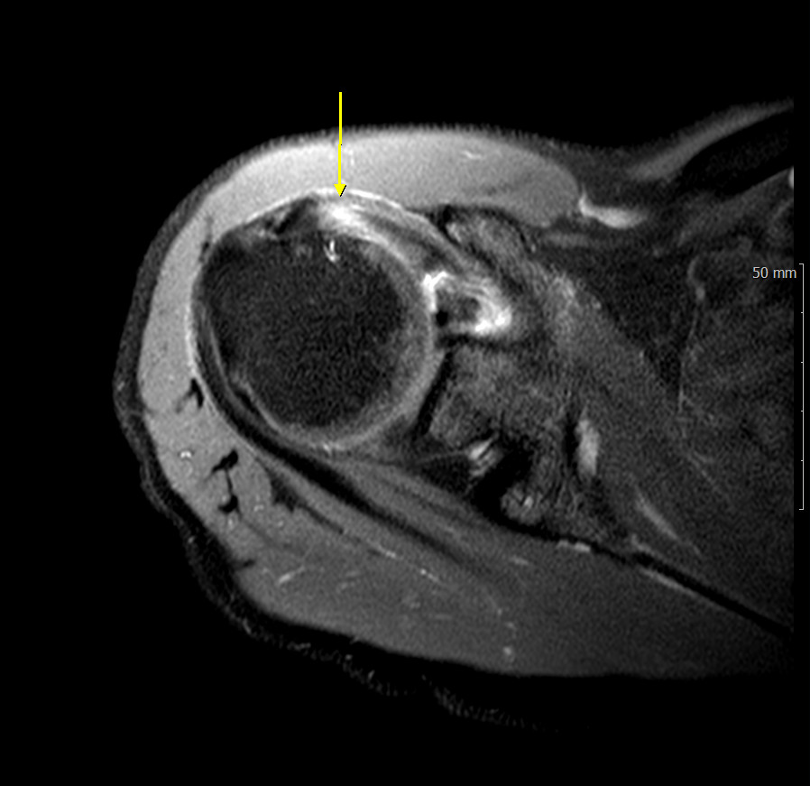
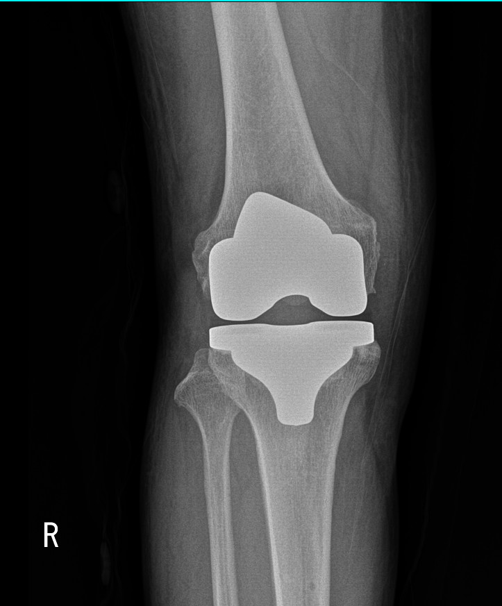
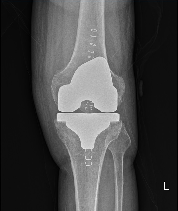
치료사례

치료사례
Seoul Central Hospital

치료사례

6개의 사례가 있습니다.

환자명: 한**

성별: F

나이: 68세

환자명: 최**

성별: F

나이: 45세

환자명: 정***

성별: M

나이: 78세

환자명: 전***

성별: M

나이: 55세

환자명: 이***

성별: M

나이: 33세

환자명: 김***

성별: F

나이: 40세